官方微信公众号
微信服务号
近日
吴江儿院普外科团队
成功为一名5岁患儿
完成腹腔镜下
腹膜后肿瘤切除术
病例回顾
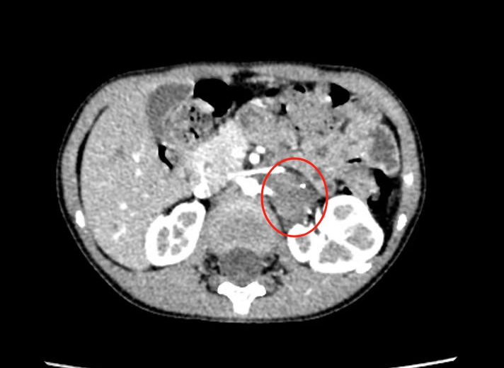
患儿系5岁小女孩,间断脐周腹痛20天,于我院普外科陈建雷主任门诊就诊后行腹部CT,检查出左侧后腹膜占位,考虑“腹膜后肿瘤”,遂收治入院,完善术前相关检查,并安排手术治疗。

入院后进一步行增强CT检查,结果显示:左侧肾脏内上方脊柱旁可见大小约26*20*35mm肿物,形态不规则,边界不清,并有肾动脉穿行于肿瘤内,还压迫肾静脉,贴近脊柱,考虑节神经母细胞瘤。
腹膜后肿瘤通常表现为淋巴管瘤、肾上腺肿瘤、脂肪源性肿瘤及神经源性肿瘤。虽发病率低却涵盖了数十种组织学类型和生物学行为各异的肿瘤,通常位置较深,早期并无明显的症状体征。而当患者感觉腹部胀满或者摸到腹部包块时,肿物往往已经巨大。
由于腹膜后肿瘤本身也缺少特异的临床表现,因此很少能够早期发现,当患者感觉腹部胀满或摸到腹部包块时,肿物已经非常巨大。通常会侵犯重要脏器和大血管,增加手术难度,而手术切除是唯一可能有效的的治疗方式。
“腹腔镜辅助下腹膜后肿瘤切除术”属高风险手术。术前普外科团队做了充分的准备:多学科会诊、备血、准备手术相关器械及术中快速病理检查,与家属充分沟通后行手术治疗。目前患儿术后恢复良好,现已出院。

科室介绍
外科病区于2020年07月中旬正式开放,2021年4月中旬起扩大为两个病区,2023年4月起正式成立外科七病区。目前床位42张,其中3个单人间。现有医生8名,其中副主任医师2名,住院医师6名,博士1名,硕士5名?;だ?6名,其中主管护师3名,护师11名,护士2名。
开展项目:
1、新生儿外、普外科:各类体表肿物,肛周脓肿、肛瘘、脐疝、腹白线疝、卵黄管发育畸形、腹股沟斜疝、甲状舌骨囊肿(瘘)、胸壁瘘管、肠闭锁、肠旋转不良、环状胰腺、先天性肥厚性幽门狭窄、腹腔肿瘤,肠系膜囊肿、肠重复畸形、畸胎瘤、脐膨出、先天性直肠肛门畸形以及阑尾炎、肠套叠、嵌顿疝和消化道穿孔等各类急腹症。
2、泌尿外科:鞘膜积液、包茎、包皮过长、隐睾、睾丸(附件)扭转、脐尿管瘘、精索静脉曲张、睾丸肿瘤、尿道外口囊肿、隐匿性阴茎、膀胱输尿管反流、输尿管囊肿及输尿管末端狭窄、肾积水及尿道下裂。
陈建雷主任门诊(普外专家门诊)
苏州市吴江区儿童医院:周二、周五上午
苏州大学附属儿童医院园区总院:周二下午、周日上午
陈晨主任门诊(泌尿专家门诊)
苏州市吴江区儿童医院:周一、周三上午、周日全天

来源:七区(普外、泌尿、神外、新生儿外) 审核编辑:社工办 签发:张晓剑 地址:苏州市吴江区公园路176号吴江区儿童医院 咨询电话:0512-60905199